Frontzähne überkronen Vorher Nachher

Frontzähne überkronen Vorher Nachher. Zahnkrone . Zahnbrücke Vorher und Nachher schöne Fälle Zahnarzt Dr. Azzawi, 1010 Wien Von den verschiedenen Materialien bis hin zur Vorgehensweise beim Einsetzen - hier erfahren Sie alles Wissenswerte rund um das Thema Überkronen von Zähnen. Horvath, durchgeführt von Spezialisten in unserer Praxis.

Vorher Nachher Bilder Kronen 🦷 Dr. med. Dr. med. dent. Michael Rak
Vorher Nachher Bilder Kronen 🦷 Dr. med. Dr. med. dent. Michael Rak from www.jadento.de

Schauen Sie sich einige unserer Behandlungsfälle in Bildern an! Von den verschiedenen Materialien bis hin zur Vorgehensweise beim Einsetzen - hier erfahren Sie alles Wissenswerte rund um das Thema Überkronen von Zähnen.

Vorher Nachher Bilder Kronen 🦷 Dr. med. Dr. med. dent. Michael Rak

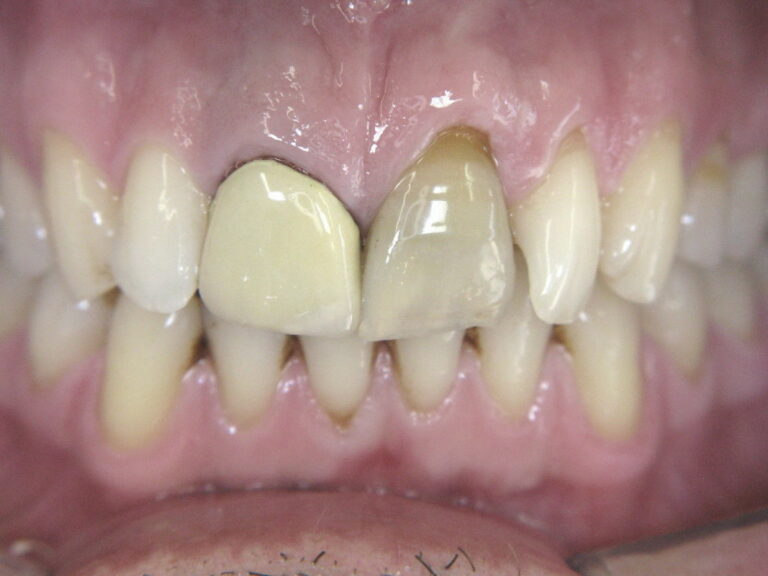
Dieser Patient war mit der Ästhetik seiner Frontzähne unzufrieden, da die seitlichen Schneidezähne wurzelbehandelt und dunkel verfärbt waren und bei den mittleren Schneidezähnen alte Füllungen ausgebrochen waren Vergleichen Sie vorher-nachher Bilder und überzeugen Sie sich selbst. In diesem Artikel werden wir uns ausführlich mit dem Thema Zahn überkronen auseinandersetzen und Ihnen alle wichtigen Informationen an die Hand geben

EMax Frontzahnkronen Per Dente. Schauen Sie sich einige unserer Behandlungsfälle in Bildern an! Classen in Jülich - Spezialisten für Schöne Zähne/ Zahnästhetik in nur wenigen Terminen ohne Angst auf Wunsch in Dämmerschlaf/ Sedierung

Kronen Referenzen Zahnarzt zahnarztluzernzahnklinik.ch. Die Einhaltung ausgezeichneter Mundhygienegewohnheiten, um die Zähne sauber zu halten und das Risiko der Ansammlung von Zahnbelag und der Verschlechterung der Zähne zu verringern, ist einer der wesentlichen Aspekte, die für die richtige Pflege einer Zahnkrone zu. In der Wellness Kliniek bevorzugen wir Letzteres, vor allem, wenn die Zähne sichtbar sind, weil die Kronen dann mit Hilfe der Computertechnik bis ins Detail entworfen werden, so dass.